记者 焦守广 通讯员 关天星
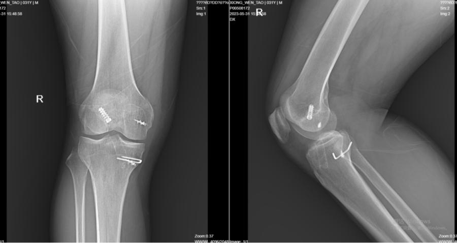
今年31岁的王先生酷爱篮球运动,6年前在运动中致右膝关节前交叉韧带、内侧副韧带损伤,在外院确诊后,做了“内侧副韧带、前交叉韧带重建”手术。术后王先生恢复良好,一直感觉不错。没想到,今年5月下旬,活动时出现右膝关节异响,疼痛,疼痛为锐痛,行走困难,严重影响日常生活。就近去一家医院,行膝关节MRI(核磁共振)检查,提示:右膝关节前交叉韧带损伤,建议行手术治疗。
6年前做过手术,如今又要手术,但这次手术之后,再过几年会不会又有后患?
一番了解之后,患者选择了济南市中心医院东院关节外科,并于5月31日办理住院手续。

面对医学影检查的结果,患者甚至有些不理解:虽然右膝关节周缘能见到陈旧手术疤痕,但愈合良好,为什么近期出现疼痛和异响?通过怎样的手术治疗,才能确保今后不再旧病复发?
对此,济南市中心医院东院关节外科主任高玉镭向患者解释说:此次外伤再次造成右膝前交叉韧带断裂,由于年轻、活动量大,前交叉韧带功能失效会造成膝关节不稳、退变加速,出现膝关节疼痛。需再次行膝关节前交叉韧带翻修重建术,但此次手术因为原有内置物及骨道影响,手术难度较初次手术大,术后还需规范功能锻炼,以达到手术目的。

6月2日,高玉镭主任为患者实施“股薄肌、半腱肌、腓骨长肌取腱术+关节镜下右膝前交叉韧带重建翻修术+半月板缝合术”,术中所见:前交叉韧带部分断裂、松弛,韧带内淤血,外侧半月板后角撕裂。高玉镭主任介绍说:“手术过程中,刨削器刨除关节内积血,彻底止血。给予缝合外侧半月板后角。然后,于胫骨结节内侧取出两条肌腱,于右踝关节外侧切口内取1/3腓骨长肌肌腱,并在工作台上对其预处理,接下来才是相关重建流程。整个手术过程比较复杂,但彻底解决了手术后各种并发症隐患。”

6月5日,患者顺利出院,回家康复锻炼。