就在一个月前,今年50岁的季女士突然出现尿频、尿急、尿痛症状,偶有血尿,本以为患上了尿路感染,遂前往重庆医药高专附一院(重庆市第六人民医院)泌尿外科就诊,可检查结果却吓了季女士一大跳——自己膀胱里竟长有一个直径6厘米的结石!
尿结石比鸡蛋还大,在临床已属于巨大结石的范畴,必须尽快安排手术。市六院泌尿外科主任靳文生一面为患者开具了口服药物,缓解季女士相关症状,一面与患者及家属充分沟通,为其制定了“经尿道膀胱超声弹道碎石术”手术方案,希望彻底解除季女士身体里的这颗“定时炸弹”。

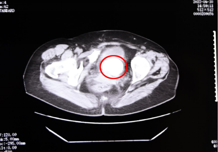
患者术前影像图,红圈部分为结石
7月6日,经过精心准备,由靳文生主任主刀,林宛蓉医师做一助的碎石手术顺利展开。在麻醉手术科的全力配合下,经历长达4小时的碎石,成功完成了这台标准规范的经尿道膀胱超声弹道碎石术,将季女士体内质地坚硬的膀胱结石全部击碎并取出,因是微创手术,术后季女士恢复得又快又好。

靳文生主任带领团队手术中
夏季为何泌尿系结石高发?我们应该如何预防?本期好医声科普邀请重庆市第六人民医院泌尿外科主任靳文生为您解答。
专家介绍:

靳文生,重庆医药高等专科学校附属第一医院(重庆市职业病防治院、重庆市第六人民医院)泌尿外科主任,中共党员,副主任医师,医学博士。重庆市医学会泌尿外科学专业委员会委员、重庆市医学会泌尿外科学专业委员会结石学组委员、重庆市医学会泌尿外科学专业委员会肿瘤学组委员、重庆市医学会泌尿外科学专业委员会人工智能学组委员、重庆市中西医结合学会男科专业委员会委员、重庆性学会性医学专委会委员。从事泌尿外科专业20余年,擅长于泌尿系结石肿瘤、前列腺增生症、泌尿系创伤及男科疾病的诊治。
夏季是泌尿系结石高发季
不及时处理恐造成肾功能损坏
据靳文生主任介绍,夏季是泌尿系结石的高发季。因夏季天气炎热,人体出汗多,而如果没有及时补充水分,会导致尿液浓度过高,尿中晶体沉积,久而久之,就会形成结石。尤其是很多人在夏天都喜欢呆在空调房里,水分不是通过汗液排出,而是直接从皮肤表面蒸发,更容易造成尿液浓缩。
而如果结石一直存在于肾脏内,会反复刺激肾脏黏膜,不仅会导致炎症感染,还可能对肾脏的过滤和分泌功能产生一定的损害。如果不及时处理,久而久之就会使肾脏逐渐丧失功能。如果双侧都患有肾结石,一旦结石梗阻导致双侧积水,却没有及时处理的话,双侧肾功能不断丢失,最终甚至可形成尿毒症。

泌尿系结石病因多
出现这些症状应当心
“造成泌尿系结石的病因有多种,除了病理性因素如代谢性疾病、解剖结构异常等,多与生活饮食相关。”靳文生主任表示,最常见的原因是饮水量少、活动少,还有部分是自然环境因素造成,如水质较硬的地区,水中含钙量比较多使尿钙增高,容易形成结石。
泌尿系结石可发生在肾脏、输尿管、膀胱、尿道任一部位,根据结石的大小、发生的部位、病史长短不同,症状也有所不同。据靳文生主任介绍,有的较轻或位于肾脏内的结石,可以无任何症状,仅在体检时发现。但大多数患者可表现出尿频、尿急、一侧腰腹部突发剧烈疼痛等症状。“一旦发现这些症状,要及时到正规医院进行检查。”

预防泌尿系结石
不仅要多喝水 还要“喝对”水
许多老百姓都知道,预防泌尿系结石要多喝水,可却不知道,喝水也是有讲究的!有的年轻人成天把咖啡、奶茶当水喝,不爱喝白开水,靳文生主任表示,这不仅不能预防泌尿系结石,甚至可能导致泌尿系结石,或给身体带来其他危害。
“我们所提倡的‘多喝水’,是指白开水,或者纯净水、矿泉水。”靳文生主任表示,如果夏天在室外工作,大量出汗,可适当补充淡盐水。此外,针对有的网友说“矿泉水会加重泌尿系结石”的说法并没有科学依据。
此外,还有的网友提出“跳一跳”可以把较小的结石“跳”出来,靳文生主任表示,虽然“跳”有可能有效果,但一定要在专业医生的指导下“跳”,如果方式方法不对,可能会造成更严重的后果。
针对较大的结石,医生建议尽早治疗。目前治疗泌尿系结石的方法有保守治疗、体外冲击波碎石、微创手术治疗等,医生会根据结石的具体情况采取合适的治疗方式。
(文/王凤 图/视觉中国)